fbpx

Dental Implant From Only £65 per month + £250 Worth of Extra's

Holly Dental » Dental Treatments » Dental-implant

The worlds best solution for missing teeth and loose dentures. Smile, eat and live life with a confident smile. Our dental implant system at Holly Dental Practice in Preston, provides a safe and reliable method for replacing teeth, whether you have lost one, several or all of them.

Book an appointment




    FREE Hygiene Appointment worth £72

    dental consultation icon

    FREE Dental Implants Care Pack worth £50

    FREE 12 Months Implants After-Care worth £130

    Reliable, Natural Looking and Cost Effective Dental Implants in Preston

    Usually the best solution for permanently replacing one or more teeth, Dental Implants are designed to completely replace your old tooth – at both a root and crown level.

    The procedure involves relatively minor surgery to implant a synthetic ‘tooth root’ into the jaw bone. Made from extremely strong, durable and biocompatible titanium, the implant gradually integrates with the bone tissue, creating a secure and permanent foundation for an abutment onto which a bespoke dental restoration can be placed.

    As well as providing full function and a completely lifelike tooth restoration, dental implants in Preston also support your jaw bone structure, preventing the ageing ‘shrinkage’ that occurs when missing teeth are left untreated. well as providing full function and a completely lifelike tooth restoration. The implants can also support your jaw bone structure, preventing the ageing ‘shrinkage’ that occurs when missing teeth are left untreated.

    Your new teeth will look and feel natural, not only replacing the visible parts of the teeth, but also the root as well, allowing you to live, laugh and enjoy life with total confidence.

    Affordable Dental Implants in Preston

    High quality implants catering for a variety of cases

    Single Tooth Implant

    If you are missing one tooth, or the tooth is damaged/weak and it needs to be removed, a single implant is the best long-lasting solution. The new tooth is prepared to match neighboring teeth for a completely natural appearance.

    same day dental implants preston

    Same Day Teeth

    Same Day Teeth has revolutionised traditional dental implant techniques. Now, people living with the inconvenience of loose and missing teeth or dentures can have full sets of fixed new teeth and their smiles restored in a single day.

    implant bridge

    Implant Bridge

    If you are missing one or a number of teeth, few individual implants can be fitted to connect the crowns together creating a bridge. The pressure on the individual implants in the bone is reduced as it is spread across the entire bridge.

    Advanced Modern Dentistry

    Why Should I Choose Dental Implants?

    Means you can eat all your favourite foods

    If you would like to chew your favourite foods and improve your quality of life and diet, dental implants is the ideal solution for you.

    Restores your self-confidence and self-esteem

    If you are embarrassed about your loose or missing teeth, dental implants can help you smile and laugh with confidence again.

    No need for dentures

    If you suffer with loose dentures, want rock solid teeth espeically your chewing teeth and feel your face is losing its shape due to missing teeth, dental implants can help you.

    Now with affordable monthly plans and with £250 worth of free extra’s.

    Dental implants can change your life

    from £65 per month when spread over finance

    ABOUT US

    We Are Holly Dental Practice

    At Holly Dental Practice, we are lucky to have an exceptional team of highly qualified, friendly dental professionals who are passionate about providing excellent dental care to our patients.

    Dr Shammi Rouf is our in-house dental implant dentist and has helped several people, just like you to take that safe step forward in having dental implants to restore their smile and health.

    dental implants preston

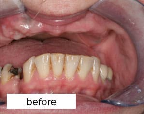
    RESULTS

    Our Dental Implant Results

    Before After
    Before After
    Before After

    Dental implants can change your life

    from £65 per month when spread over finance

    QUESTIONS?

    Frequently Asked Questions

    The implantation procedure is carried out under local anesthesia, so you will not feel pain. We can also perform implantation with sedation, during which the patient feels calm and comfortable.

    The crowns attached to the implants are chosen to match natural teeth, both in color, shape, and size.

    A normal implantation procedure takes about 45-75 minutes This time may vary depending on the location of the implant, the number of implants placed, and other factors affecting the procedure.

    The surgery is high-tech and minimally invasive. With the help of 3D scanning and a computer-guided dental laser, an implant can be placed so accurately that it involves the least possible trauma and therefore a swift recovery time. Once the implant has been placed in the jaw, you will need to wait a few weeks for the integration process to take place – this is where your natural bone tissue grows around the implant, securing it in place for life. Once integration has successfully completed, you’ll be able to return to Holly Dental for the final fitting of your new tooth.

    Get in touch

    We look forward to helping you get the best out of what life has to offer.

    If you would like to find out more, or to book an appointment, contact us today and our friendly staff members will be happy to answer any questions you may have.